Fistola gengivale: sintomi, cause e cure efficaci
11 Settembre 2025 | Fabio Betteti
11 Settembre 2025 | Fabio Betteti
Quando si parla di salute orale, la fistola gengivale rappresenta uno dei problemi che spesso preoccupano maggiormente i pazienti. Questa condizione, che si manifesta come una piccola protuberanza sulla gengiva, può essere il segnale di un’infezione sottostante che richiede attenzione immediata. Comprendere cos’è una fistola gengivale, riconoscerne i sintomi e conoscere le opzioni di trattamento disponibili è fondamentale per mantenere una bocca sana e prevenire complicazioni più gravi.
Cos’è una fistola gengivale: definizione e caratteristiche
Una fistola gengivale è un piccolo canale che si forma attraverso i tessuti gengivali, creando una comunicazione tra un’area infetta all’interno del cavo orale e l’esterno. Questa formazione rappresenta essenzialmente la risposta naturale del corpo a un’infezione: quando batteri e pus si accumulano in una zona specifica, l’organismo cerca di creare una via di fuga per drenare il materiale infetto.
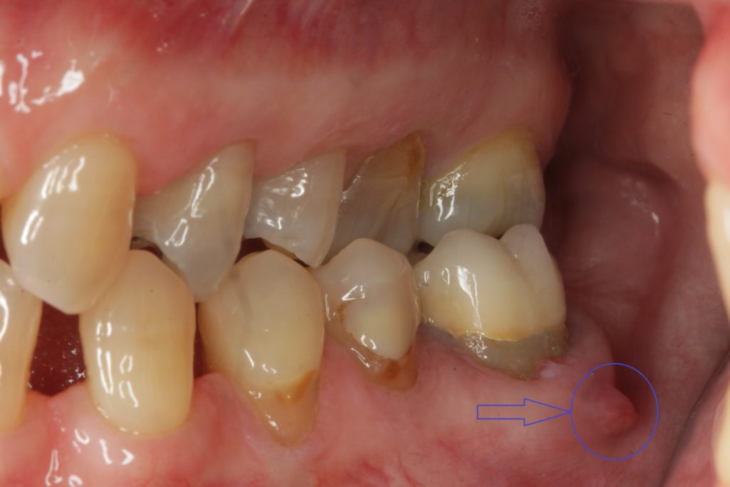
Dal punto di vista clinico, la fistola gengivale appare come una piccola protuberanza o rigonfiamento sulla gengiva, spesso di colore rossastro o biancastro. Può presentarsi come un piccolo forellino o canale visibile sulla superficie gengivale, attraverso il quale può fuoriuscire pus o altro liquido purulento in maniera spontanea o premendo il tessuto circostante.
La funzione principale del canale fistoloso è proprio quella di permettere il drenaggio del pus, alleviando temporaneamente la pressione e il dolore causati dall’accumulo di materiale infetto. Tuttavia, questa “soluzione” naturale del corpo non risolve la causa principale del problema, che richiede sempre un trattamento odontoiatrico appropriato.

Sintomi della fistola gengivale: come riconoscerla
Riconoscere i sintomi di una fistola gengivale è fondamentale per intervenire tempestivamente e prevenire complicazioni. I segnali più comuni includono la presenza di dolore o fastidio localizzato nella zona interessata, che può variare da un leggero disagio a un dolore più intenso, soprattutto durante la masticazione o quando si esercita pressione sulla zona.
Il gonfiore e l’arrossamento gengivale rappresentano altri indicatori importanti. La gengiva attorno alla fistola appare spesso infiammata, calda al tatto e di colore più scuro rispetto ai tessuti sani circostanti. Questo gonfiore può estendersi anche alle zone adiacenti, creando un aspetto asimmetrico del viso nei casi più severi.
Uno dei sintomi più caratteristici è la presenza di pus o la fuoriuscita di liquido dalla lesione. Questo materiale purulento può avere un colore giallastro o verdastro e spesso è accompagnato da un cattivo sapore in bocca persistente. L’alitosi rappresenta infatti un sintomo frequente.
Il sanguinamento gengivale, soprattutto durante lo spazzolamento dei denti o l’uso del filo interdentale, può essere un altro segnale da non sottovalutare. È importante notare che nei primi stadi di sviluppo, i sintomi possono essere molto lievi o addirittura assenti, rendendo la diagnosi precoce più difficile. Per questo motivo, anche segnali apparentemente minori dovrebbero essere valutati da un dentista, poiché un intervento tempestivo può prevenire l’aggravarsi della situazione.
Cause della fistola gengivale: perché si forma
Le cause che portano alla formazione di una fistola gengivale sono diverse e spesso interconnesse tra loro. La causa principale risiede nella presenza di un’infezione batterica cronica che può originare da diverse condizioni del cavo orale:
– parodontite apicale cronica come risultato di una necrosi della polpa dentaria per carie
– parodontite apicale cronica come risultato di un trattamento endodontico scorretto
– parodontite apicale cronica da frattura completa o incompleta di una radice dentaria
– presenza di frammenti radicolari infetti e ritenuti nell’alveolo per estrazione dentaria non corretta
– presenza di sequestri ossei in caso di estrazioni eseguite in soggetti in terapia con farmaci bifosfonati e i cosiddetti MAB, anticorpi monoclonali e precisamente Prolia utilizzato per l’osteoporosi ( osteonecrosi dei mascellari indotte da farmaci )
– stadi avanzati della parodontite.
Il sistema immunitario indebolito, sia per condizioni patologiche ( diabete non controllato ) che per stress o cattive abitudini di vita ( fumo e alcol ) riduce la capacità dell’organismo di combattere efficacemente le infezioni batteriche del cavo orale. Traumi o lesioni gengivali, anche apparentemente minori, possono creare porte d’ingresso per i batteri.
Complicazioni e rischi legati alle fistole gengivali
Trascurare una fistola gengivale può portare a complicazioni serie che vanno ben oltre il semplice fastidio locale. Una delle conseguenze più immediate è la disseminazione dell’infezione ai tessuti circostanti, che può estendersi dalle gengive all’osso alveolare, creando zone di osteolisi che compromettono la stabilità del dente.
Il rischio di sviluppare ascessi ricorrenti, rappresenta una complicazione frequente quando la fistola gengivale non viene trattata adeguatamente. Questi processi infettivi possono crescere di dimensioni nel tempo, causando dolore intenso e richiedendo interventi chirurgici più complessi per la loro risoluzione.
Nei casi più severi, l’infezione può avere un coinvolgimento sistemico, specialmente in pazienti con sistema immunitario compromesso o con patologie croniche come il diabete. La batteriemia, ovvero la presenza di batteri nel circolo sanguigno, può portare a complicazioni cardiovascolari e aggravare condizioni preesistenti.
L’importanza del trattamento precoce non può essere sottolineata abbastanza: intervenire tempestivamente non solo previene queste complicazioni, ma permette anche trattamenti meno invasivi e più conservativi, preservando la salute del dente e dei tessuti circostanti. Il costo e la complessità del trattamento aumentano significativamente quando la condizione viene trascurata, rendendo la prevenzione e l’intervento precoce sempre la scelta più vantaggiosa per il paziente.
Cura delle fistole gengivali: terapie e trattamenti
Il trattamento di una fistola gengivale richiede sempre l’intervento di un professionista qualificato e inizia necessariamente con una visita specialistica odontoiatrica. Durante questa valutazione, il dentista eseguirà un esame clinico approfondito e, se necessario, richiederà radiografie per identificare con precisione la causa principale dell’infezione e pianificare il trattamento più appropriato.
creare le condizioni ottimali per i trattamenti successivi. Il drenaggio può essere effettuato attraverso la fistola stessa o mediante piccole incisioni guidate dal dentista.
Nei casi indicati, viene prescritta una terapia antibiotica mirata per controllare l’infezione batterica. La scelta dell’antibiotico dipende dal tipo di batteri coinvolti e dalla gravità dell’infezione. È fondamentale seguire scrupolosamente le indicazioni del dentista riguardo dosaggio e durata del trattamento per garantire l’efficacia della cura.
Il trattamento della causa primaria rappresenta la fase cruciale della terapia. Se l’infezione origina da una carie penetrante sarà necessario procedere con la devitalizzazione del dente e la sua ricostruzione. Se l’infezione proviene da un dente con una devitalizzazione incongrua si dovrà intervenire con un ritrattamento dell’elemento. Quando la fistola è conseguenza di una parodontite, si renderà necessario un trattamento parodontale specifico che può includere la pulizia profonda delle tasche gengivali e, in alcuni casi, interventi chirurgici. La chirurgia sarà assolutamente necessaria nei casi di radici infette ritenute profondamente e nei casi di sequestri ossei.
Nei casi più gravi o quando i trattamenti conservativi non risultano efficaci, può essere necessario ricorrere a un intervento chirurgico. Questo può includere la rimozione di tessuto infetto ( apicectomia ), la correzione di difetti ossei ( chirurgia ossea resettiva )o, in situazioni estreme, l’estrazione del dente coinvolto.
È fondamentale che i pazienti comprendano l’importanza di non intervenire autonomamente sulla fistola. Tentare di drenare o manipolare la lesione può peggiorare l’infezione e rendere più complesso il trattamento professionale.
Rimedi naturali e consigli utili in attesa del dentista
Nell’attesa di ricevere il trattamento odontoiatrico professionale, esistono alcuni rimedi naturali e accorgimenti che possono aiutare ad alleviare il fastidio causato dalla fistola gengivale. È importante sottolineare che questi rimedi hanno un effetto puramente sintomatico e non sostituiscono mai la cura specialistica.
I risciacqui con soluzione salina rappresentano uno dei rimedi più sicuri ed efficaci per alleviare temporaneamente il fastidio. Preparare una soluzione con un cucchiaino di sale in un bicchiere di acqua tiepida e utilizzarla per sciacqui delicati può aiutare a ridurre l’infiammazione e mantenere pulita la zona interessata. Questi risciacqui possono essere ripetuti più volte al giorno senza controindicazioni.
L’utilizzo di gel o oli con proprietà antinfiammatorie naturali, come l’aloe vera o l’olio di cocco, può fornire un sollievo temporaneo. Tuttavia, questi prodotti devono essere utilizzati con cautela e solo per brevi periodi, evitando di applicarli direttamente sulla fistola se questa presenta fuoriuscita attiva di pus.
È assolutamente da evitare qualsiasi rimedio fai-da-te invasivo, come tentare di spremere o drenare manualmente la lesione. Queste manovre possono introdurre nuovi batteri nell’area infetta, peggiorare l’infiammazione e causare la diffusione dell’infezione ai tessuti circostanti.
Mantenere una corretta igiene orale diventa ancora più importante in presenza di una fistola gengivale. Utilizzare uno spazzolino morbido per evitare di irritare ulteriormente la zona, continuare a usare il filo interdentale nelle aree non coinvolte dall’infezione e completare la pulizia con un collutorio antibatterico delicato.
L’importanza di rivolgersi tempestivamente al dentista non può essere enfatizzata abbastanza. I rimedi casalinghi possono fornire un sollievo momentaneo, ma solo un trattamento professionale può risolvere definitivamente il problema e prevenire complicazioni future.
Prevenzione della fistola gengivale: le buone abitudini
La prevenzione rappresenta sempre l’approccio più efficace per evitare la formazione di fistole gengivali. Adottare corrette abitudini di igiene orale quotidiana costituisce la base fondamentale di ogni strategia preventiva. Spazzolare i denti almeno due volte al giorno con un dentifricio fluorato, utilizzando una tecnica corretta che permetta di rimuovere efficacemente la placca batterica senza danneggiare le gengive.
L’uso regolare del filo interdentale e degli scovolini rappresenta un elemento essenziale spesso trascurato. Questi strumenti permettono di raggiungere gli spazi tra i denti dove lo spazzolino non arriva, rimuovendo residui di cibo e placca batterica che potrebbero diventare fonte di infezione. La pulizia interdentale dovrebbe essere eseguita quotidianamente, preferibilmente la sera prima dello spazzolamento.
L’utilizzo regolare di un collutorio antibatterico può fornire una protezione aggiuntiva, raggiungendo tutte le superfici del cavo orale e mantenendo sotto controllo la carica batterica. È importante scegliere prodotti di qualità e seguire le indicazioni d’uso fornite dal produttore o dal proprio dentista.
I controlli periodici dal dentista, idealmente ogni sei mesi, permettono di identificare precocemente eventuali problemi e intervenire prima che si sviluppino complicazioni. Durante queste visite, il professionista può valutare lo stato di salute di denti e gengive, identificare zone a rischio e fornire consigli personalizzati per migliorare l’igiene orale domiciliare.
Le sedute di igiene professionale, da effettuare almeno una volta all’anno o secondo le indicazioni del dentista, rimuovono tartaro e placca batterica che non possono essere eliminate con la pulizia domestica. Questi trattamenti sono particolarmente importanti per prevenire la formazione di tasche parodontali che potrebbero favorire lo sviluppo di infezioni.
Un’alimentazione equilibrata e povera di zuccheri contribuisce significativamente alla salute orale. Limitare il consumo di dolci, bevande zuccherate e snack tra i pasti riduce il nutrimento disponibile per i batteri cariogeni. Preferire frutta, verdura e alimenti ricchi di vitamine e minerali supporta le difese naturali del cavo orale.
L’eliminazione di abitudini nocive come il fumo e l’abuso di alcool rappresenta un investimento importante per la salute orale. Il fumo, in particolare, riduce l’irrorazione sanguigna delle gengive, compromette la risposta immunitaria locale e favorisce l’accumulo di placca batterica, aumentando significativamente il rischio di sviluppare infezioni gengivali.
Conclusione: l’importanza di un intervento tempestivo
La fistola gengivale rappresenta un segnale di allarme che non dovrebbe mai essere ignorato. Come abbiamo visto, questa condizione indica sempre la presenza di un’infezione sottostante che richiede attenzione professionale immediata. Riconoscere precocemente i sintomi e comprendere le possibili cause può fare la differenza tra un trattamento semplice e conservativo e la necessità di interventi più complessi e invasivi.
Il valore della prevenzione emerge chiaramente quando si considerano le possibili complicazioni di una fistola gengivale non trattata. Mantenere una corretta igiene orale quotidiana, sottoporsi a controlli regolari e adottare uno stile di vita sano rappresentano investimenti fondamentali per la salute del cavo orale. I controlli periodici dal dentista non sono solo un’opportunità per identificare precocemente eventuali problemi, ma anche per ricevere consigli personalizzati su come migliorare le proprie abitudini di igiene orale.
Quando si manifesta una fistola gengivale, è essenziale rivolgersi sempre a un dentista di fiducia. Solo un professionista qualificato può identificare correttamente la causa del problema e pianificare il trattamento più appropriato. Tentare di gestire autonomamente la situazione o rimandare la visita specialistica può portare a complicazioni serie e costose.
I benefici di una bocca sana si estendono ben oltre il semplice benessere orale, influenzando positivamente la salute generale dell’individuo. Le infezioni del cavo orale non trattate possono infatti avere ripercussioni sistemiche, particolarmente significative in pazienti con condizioni mediche preesistenti. Investire nella salute orale significa quindi prendersi cura del proprio benessere complessivo, migliorando la qualità della vita e prevenendo problemi futuri più gravi e difficili da risolvere.
Se sospetti di avere una fistola gengivale o hai notato uno dei sintomi descritti in questo articolo, non esitare a contattare Faggian Clinic. Il nostro team di specialisti è a tua disposizione per una valutazione accurata e per fornirti il trattamento più appropriato per la tua situazione. Prenota subito la tua visita e affidati alla nostra esperienza per riconquistare il sorriso e la salute della tua bocca.